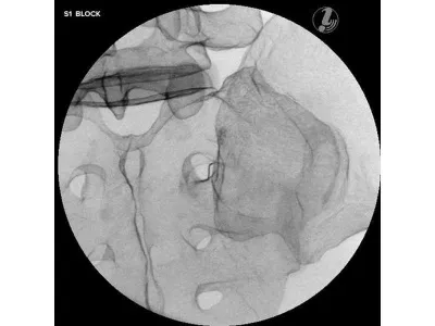
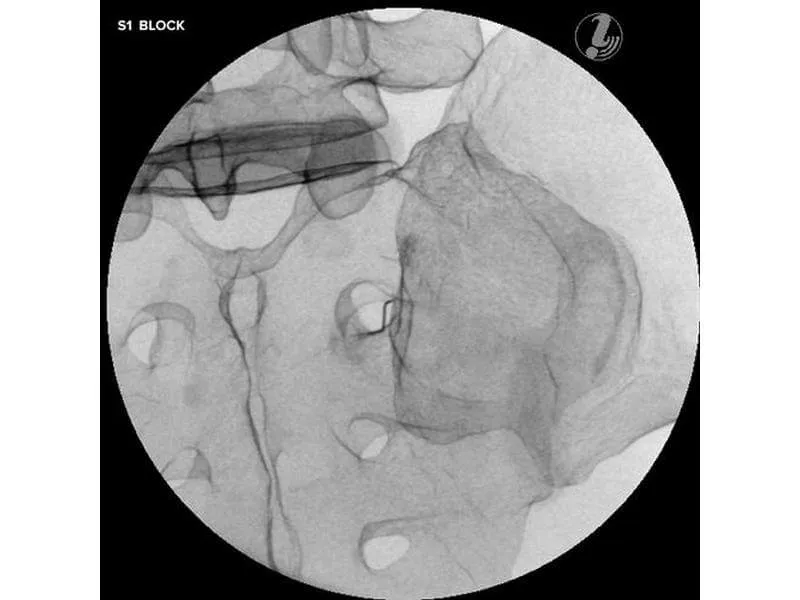
Тренажер для спинальных инъекций с визуальным контролем
Тренажер для инъекций в поясничный отдел с визуальным контролем позволяет повысить процент успешных результатов при медицинском вмешательстве на позвоночнике путем использования стандартизированного обучения выполнению инъекций.
Тренажер позволяет обучаемым выработать пространственное представление о порядке выполнения процедуры с целью успешного проведения медицинского вмешательства на позвоночнике. Они смогут научиться соотносить анатомию поясничного отдела позвоночника с соответствующими интервенционными обезболивающими процедурами, определению целевой ткани и легко повреждаемых структур с помощью визуализации и анатомического обследования, а также применять передовые методы для обеспечения безопасности пациента.
Реалистичная тактильная обратная связь при выполнении инъекций и анатомически точная костная структура с наличием ориентиров сделает практику максимально правдоподобной!
- Крестцовый отдел позвоночника, S1-S3 (с каналом крестцового отверстия)
- Подвздошная кость, с двух сторон, без седалищной кости и тазобедренного сустава
- T12-L5
- Копчик
- Трансфораминальная эпидуральная инъекция стероидов (TFSI)
- Интраламинарная эпидуральная инъекция
- Блокада фасеточных суставов
- Блокада медиальной ветви (MBB/RF)
- Блокада позвонка S1
- Инъекция в крестцово-подвздошный сустав
| — | Тренажер для спинальных инъекций в поясничный отдел с визуальным контролем P65 / 1021898 | Тренажер для спинальных инъекций в грудной отдел с визуальным контролем P66 / 1021899 | Тренажер для спинальных инъекций в шейный отдел с визуальным контролем P67 / 1021900 |
| Анатомические структуры скелета для визуализации и пальпации |
|
|
|
| Интервенционные процедуры на позвоночнике |
|
|
|
|
Код ТНВЭД
|
9023000000 |
|
Подходит для Охраны труда
|
Нет |
|
Категория
|
Анестезиология |
|
Подкатегория
|
Инъекции и пункции |
|
Тип помощи
|
Отработка инъекций и уколов |
|
Комплект поставки
|
|
|
Материал
|
Силикон |
|
? В мм
Размер
|
419 х 351 х 124 мм |
|
Вес, кг
|
15.2 |
Гарантия на продукцию Феба
На каждое приобретённое оборудование в компании Феба предоставляется гарантия. При условии, если покупатель не нарушил условий эксплуатации, мы в короткие сроки устраним выявленные недостатки. Основанием для предоставления гарантии служат отгрузочные бухгалтерские документы.
Срок гарантии рассчитывается индивидуально более подробную информацию можно получить у методиста.
Гарантия начинает действовать с момента предоставления товара покупателю, если дополнительные условия не предусмотрены договором;
В гарантии предусмотрено – устранение недостатков товара в сертифицированных сервисных центрах;
Условия предоставления гарантии:
-
Юридические лица передают товар в ремонт на основании товарной накладной по форме ТОРГ-12 и счета-фактуры (либо УПД). К данным документам необходимо приложить претензию, в которой должны быть названы выявленные дефекты/недостатки товара, и сформулированы ваши требования.
-
Доставка оборудования в сервисную службу осуществляется клиентом самостоятельно.
-
Гарантийные обязательства не распространяются на материалы и детали, считающиеся расходным материалом (блоки питания, соединительные кабели, крепления и монтажные элементы).
-
Решение об удовлетворении претензии принимается после экспертизы товара (срок проведения экспертизы до 20 рабочих дней).
Гарантийные обязательства могут быть прерваны в следующих случаях:
-
Наличие явных или скрытых механических повреждений оборудования, вызванных нарушением правил транспортировки, хранения или эксплуатации;
-
Выявленное в процессе ремонта несоответствие правилам и условиям эксплуатации, предъявляемым к оборудованию данного типа;
-
Повреждение контрольных этикеток и пломб;
-
Наличие внутри корпуса оборудования посторонних предметов, независимо от их природы, если возможность подобного не оговорена в технической документации и инструкциях по эксплуатации;
-
Отказ оборудования, вызванный воздействием факторов непреодолимой силы и/или действиями третьих лиц;
-
Установка и запуск оборудования несертифицированным персоналом, в случаях, когда участие при установке и запуске квалифицированного персонала прямо оговорено в технической документации или других письменных соглашениях.
Мы всегда готовы выслушать и рассмотреть Ваши пожелания и предложения, разрешить возникшие проблемы. При появлении любых вопросов, связанных с гарантией, пожалуйста, свяжитесь с нами по телефону 8 800 444 12 55 с 10:00 до 18:00 по московскому времени или по почте: info@feba.ru
Юридическим лицам
| Оплата осуществляется по безналичному расчету. |
|
Государственным организациям
Мы рады предложить частичную или полную отсрочку оплаты государственным организациям. Все, что Вам нужно сделать, это после заказа и согласования оборудования отправить нам по электронной почте реквизиты Вашей организации. Наш менеджер оперативно подготовит всю необходимую документацию и направит ее Вам в электронном виде. Оформление поставки и оплата происходят в соответствии с условиями договора.

Все необходимые документы передаются вместе с заказом.
Физическим лицам
| Оплата осуществляется по безналичному расчету. |
|












































